Наші послуги

Завданням Symmetrica Medical Group є відновлення індивідуальних фізіологічних патернів, закладених природою. Брекети та елайнери є інструментами, які допомагають досягти бажаного кінцевого результату лікування — комфортного саме для конкретного пацієнта.
Вартість і тривалість лікування залежать від бажаного результату та індивідуальної клінічної ситуації.
Існує два типи брекетів: металеві та керамічні. Класичні металеві брекети є більш помітними та потребують ретельнішої домашньої гігієни, проте в окремих індивідуальних випадках вони можуть бути ефективнішими.

Практично непомітний та зручний для життя спосіб вирішення складних ортодонтичних задач.
Важливо знати:
Ми рекомендуємо носити елайнери 22 години на добу. Знімайте їх лише для їжі та чищення або на короткий час для особливих подій (весілля, фотосесії).
Так, у більшості випадків проміжки успішно закриваються.
Зазвичай ні, але іноді потрібна додаткова оцінка.
Мости можуть обмежувати рух зубів, рішення приймає лікар.
Підходить не всім; можливість лікування визначає лікар індивідуально.
Вартість індивідуальна та визначається після консультації лікаря й оцінки клінічної ситуації.
Можливий легкий тимчасовий дискомфорт на початку нового етапу, який швидко минає.
У середньому від 6 до 18 місяців, залежно від складності випадку.
Зазвичай кожні 4–6 тижнів, залежно від плану лікування.
Ні, лікування проводять лише лікарі, які пройшли спеціальне навчання Invisalign.
З прозорого термопластичного матеріалу медичного класу, виготовленого індивідуально.
Елайнери поетапно переміщують зуби за заздалегідь спланованим 3D-планом лікування.
Ні, знімні апарати використовувалися давно, а Invisalign поєднав їх із 3D-технологіями.
Так, елайнери знімаються, тому гігієна ротової порожнини залишається звичною.
Єдине обмеження- знімати перед прийомом їжі та напоїв
Ні, елайнери практично неЕлайнери майже непомітні, знімні та не мають металевих елементів, що робить лікування комфортним і зручним у повсякденному житті.видимі при носінні.
Ні, елайнери практично невидимі при носінні.
Тривалість лікування визначає лікар-ортодонт індивідуально, залежно від клінічного випадку.
Кожен елайнер зазвичай носять 10–15 днів, після чого замінюють наступним.
Лікування планується за допомогою 3D-моделювання, після чого пацієнт по черзі носить індивідуальні прозорі елайнери, які поступово зміщують зуби.
Invisalign — це система прозорих елайнерів для вирівнювання зубів без металевих брекетів.
Після підтвердження лікування ортодонт проводить фото- та рентгенодіагностику, цифрове сканування або відбитки, а за потреби - повну цифрову діагностику для створення плану ClinCheck 3D.
Після виготовлення на замовлення та відправлення до кабінету ортодонта ви отримаєте серію елайнерів, які можна носити щодня та міняти вдома – у середньому кожні 1-2 тижні.
Ви періодично відвідуватиме свого ортодонта
6-8 тижнів для моніторингу прогресу та отримання нових елайнерів. Після завершення плану лікування знадобляться ретейнери, щоб зберегти нову посмішку.



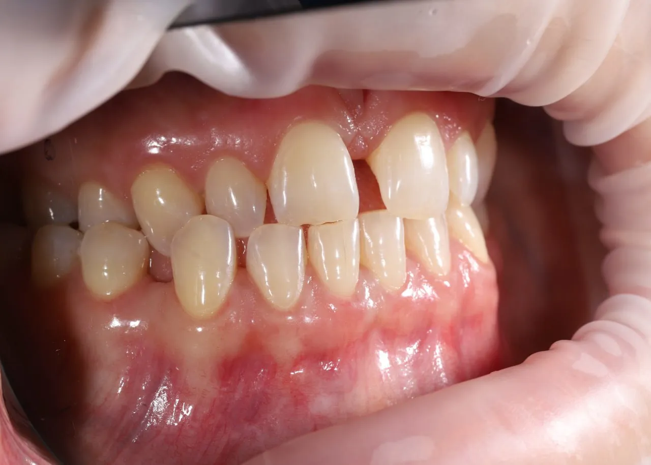
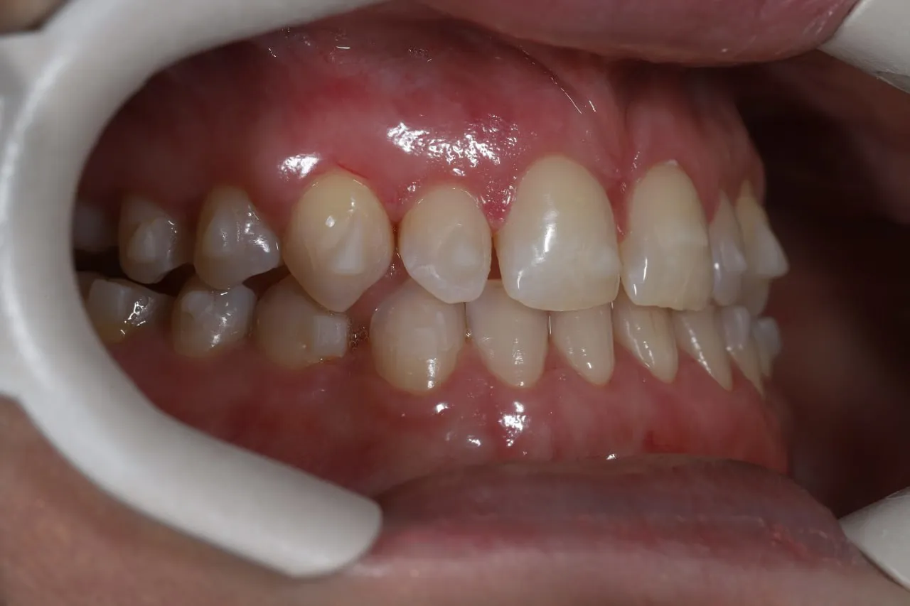
Неестетичний вигляд зубів, неможливість догляду зубною ниткою. Пігментований зубний наліт, значна кількість зубного каменю

Була проведена гігієна ротової порожнини апаратом KaVo PROPHYflex®, також зняття зубного каменю за допомогою ручних
з вами зв'яжеться фахівець Центру та надасть усю необхідну інформацію
консультація займає від 20 до 40 хвилин та дає відповіді на всі ваші запитання
консультація займає від 20 до 40 хвилин та дає відповіді на всі ваші запитання

з вами зв'яжеться фахівець Центру та надасть усю необхідну інформацію
надішлемо посилання на електронну анкету пацієнта, яку можна заповнити дистанційно
консультація лікаря триває від 20 до 40 хв. і дає відповіді на всі ваші питання стосовно стоматологічного здоров’я
